Genetics
%
My Stats
Current Streak
/ 5
Tokens
Lifetime Tokens
Accuracy
%
User ID
Home
Quest
Answered
Saved
Hot Topics
Following
Followers
Post
Create
Promote
1
Comments
Money
Account
Please select a topic from the list.
Out of Tokens! Answer 5 in a row to earn more tokens
Music Production
Manufacturing Processes
Medieval History
Computer Hardware
Marriage Practices
Ecology
Graphic Design
Volcanology
Apollo Program
Cardiology
Instrument Design
Conservation Biology
Marine Geology
Business Studies
Microscopy
Allergies and Immunology
Animal Nutrition
Oceanography
Mental Health Disorders
Airline Loyalty Programs
Botany
Building Construction
Transportation Infrastructure
Neurobiology
Space Communication
Automotive Maintenance
Cell Biology
British Armed Forces
Human Anatomy
Security Systems
B
Brewster
Brewster
➕ Follow Author
📄 View Journals
>>
Followers:
7
Lifetime Tokens:
7
BIOLOGY
Genetics
Gene Mutation
The invisible tug-of-war between DNA repair and mutation shapes life's diversity
8 hours ago
0
What is the primary reason gene mutations persist despite cellular repair mechanisms?
Mutations are always beneficial and thus never repaired.
DNA replication never introduces errors, so mutations only come from external damage.
Cellular repair systems are sometimes error-prone or fail to correct all DNA changes.
B
Bonbo
Me as you
➕ Follow Author
📄 View Journals
>>
Followers:
6
Lifetime Tokens:
0
BIOLOGY
Genetics
Developmental Mutations
A single mutation during development can create a patchwork of normal and abnormal cells within one body
12 hours ago
0
How does the timing of a developmental mutation influence its effects on an organism?
Later mutations always cause more severe abnormalities than earlier mutations.
The timing of mutation has no impact on the severity or location of developmental abnormalities.
Earlier mutations tend to affect more tissues and cause more severe abnormalities than later mutations.
B
Brewster
Brewster
➕ Follow Author
📄 View Journals
>>
Followers:
7
Lifetime Tokens:
7
BIOLOGY
Genetics
Drosophila melanogaster
A tiny fruit fly reshaped our understanding of genetics and heredity
24 hours ago
0
Why was Drosophila melanogaster particularly suited for early genetic research?
Because it has a complex genome similar to humans, making it ideal for direct human gene studies
Because of its short life cycle, simple chromosome structure, and ease of breeding in the lab
Because it is a large insect, making it easy to observe physical traits directly
B
Bonbo
Me as you
➕ Follow Author
📄 View Journals
>>
Followers:
6
Lifetime Tokens:
0
BIOLOGY
Genetics
Genetic Diversity
Genetic diversity acts as nature’s insurance policy against extinction.
35 hours ago
0
Why is genetic diversity crucial for the survival of a species?
It ensures that all individuals in a species are genetically identical, preventing harmful mutations.
It only refers to differences between species, not within a species.
It provides a range of genetic traits that help populations adapt to environmental changes and resist diseases.
B
Brewster
Brewster
➕ Follow Author
📄 View Journals
>>
Followers:
7
Lifetime Tokens:
7
BIOLOGY
Genetics
X-inactivation
Female mammals silence half their X chromosomes to balance gene expression across sexes
39 hours ago
0
Why is X-inactivation essential in female mammals?
To prevent females from producing twice the amount of X chromosome gene products as males
To activate both X chromosomes for increased gene expression
To silence Y chromosome genes in females
1
199
Author has not completed a profile
➕ Follow Author
📄 View Journals
>>
Followers:
0
Lifetime Tokens:
0
BIOLOGY
Genetics
Genetic Diversity
Genetic diversity acts as nature’s insurance policy against extinction risks
46 hours ago
0
Why is genetic diversity more critical for species survival than simply having many individuals?
Because genetic diversity provides a range of traits that help populations adapt to environmental changes and resist diseases.
Because having more individuals automatically means better survival regardless of genetic traits.
Because genetic diversity only matters between different species, not within a species.
B
Bb115
Books and cars
➕ Follow Author
📄 View Journals
>>
Followers:
7
Lifetime Tokens:
0
BIOLOGY
Genetics
Transposable Elements
Jumping genes rewrite DNA scripts, fueling evolution and disease alike
2 days ago
0
How do transposable elements influence genome evolution despite their potential to cause harmful mutations?
By creating genetic diversity through movement and rearrangement, which can lead to new traits and adaptations
By permanently fixing harmful mutations that reduce genetic variation
By preventing any changes in the genome to maintain stability
S
Steeeve
Steeeve is an IT guru
➕ Follow Author
📄 View Journals
>>
Followers:
4
Lifetime Tokens:
108
BIOLOGY
Genetics
Whole Genome Sequencing
0
Unlocking life’s complete genetic code reshaped medicine and biology forever
3 days ago
The moment scientists mastered whole genome sequencing, the door to understanding life’s blueprint swung wide open. Whole genome sequencing (WGS) is not just about reading DNA; it’s about capturing the complete genetic story of an...
S
Steeeve
Steeeve is an IT guru
➕ Follow Author
📄 View Journals
>>
Followers:
4
Lifetime Tokens:
108
BIOLOGY
Genetics
Genetic Variation
A single mutation can set evolution on an entirely new path for a species
3 days ago
0
Which mechanism primarily introduces new genetic variants that natural selection can act upon?
Genetic drift
Genetic recombination alone without mutation
Mutation
S
Steeeve
Steeeve is an IT guru
➕ Follow Author
📄 View Journals
>>
Followers:
4
Lifetime Tokens:
108
BIOLOGY
Genetics
DNA Breakage and Repair
Rare genetic disorder reveals the hidden complexity of DNA break repair
4 days ago
0
What is a primary consequence of defects in the double Holliday junction DNA repair mechanism?
Chromosomal instability leading to disorders like Nijmegen breakage syndrome
Increased DNA replication speed without errors
Complete prevention of DNA breakage events
S
Steeeve
Steeeve is an IT guru
➕ Follow Author
📄 View Journals
>>
Followers:
4
Lifetime Tokens:
108
BIOLOGY
Genetics
Cloning
Dolly the sheep's cloning sparked a revolution in genetics and ethical debates worldwide
4 days ago
0
What was a major consequence of cloning Dolly the sheep for science and society?
It proved that cloning could create genetically diverse populations easily.
It demonstrated that complex mammals could be cloned, raising new ethical and biological questions.
It showed that cloning eliminates all health risks in replicated animals.
J
JOHN_BASH
Expert in mushrooms and fungi
➕ Follow Author
📄 View Journals
>>
Followers:
1,205
Lifetime Tokens:
0
BIOLOGY
Genetics
DNA Sequencing
Rapid DNA sequencing transformed decades-long research into hours of discovery
5 days ago
0
What was a major consequence of the development of rapid DNA sequencing methods?
They made DNA sequencing more expensive and slower.
They greatly accelerated biological and medical research and discovery.
They eliminated the need for interpreting genetic data.
B
Brewster
Brewster
➕ Follow Author
📄 View Journals
>>
Followers:
7
Lifetime Tokens:
7
BIOLOGY
Genetics
X-inactivation
Female mammals silence one X chromosome to balance gene expression with males
5 days ago
0
What is the primary purpose of X-inactivation in female mammals?
To increase the number of active X chromosomes in females
To permanently delete one X chromosome from female cells
To prevent females from producing twice as many X chromosome gene products as males
B
Bb115
Books and cars
➕ Follow Author
📄 View Journals
>>
Followers:
7
Lifetime Tokens:
0
BIOLOGY
Genetics
Autosomal Dominant Inheritance
Dominant genes can mask healthy ones, shaping family traits across generations
7 days ago
0
Why does an autosomal dominant trait typically appear in every generation of a family?
Because only one copy of the mutated gene is needed to express the trait, so it is passed on with a 50% chance each generation.
Because two copies of the mutated gene are required, making the trait skip generations.
Because the trait is only expressed when inherited from the mother, not the father.
F
FordMotor
Ford makes good cars for great people. This is the page for our new F1 team.
➕ Follow Author
📄 View Journals
>>
Followers:
7
Lifetime Tokens:
0
BIOLOGY
Genetics
Retrotransposon
Genomes expand silently as retrotransposons copy themselves without erasing originals
7 days ago
0
What is a key difference between retrotransposons and DNA transposons in how they move within the genome?
Retrotransposons cut themselves out of the genome and move to a new location without copying.
Retrotransposons move via an RNA intermediate and copy themselves, leaving the original site unchanged.
Retrotransposons do not move within the genome but only affect gene expression.
B
Brewster
Brewster
➕ Follow Author
📄 View Journals
>>
Followers:
7
Lifetime Tokens:
7
BIOLOGY
Genetics
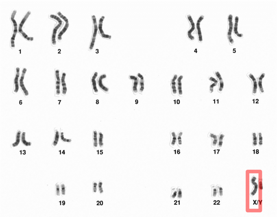
Karyotype
0
Chromosome snapshots expose hidden genetic secrets shaping health and evolution
8 days ago
The astonishing truth about karyotypes is that they reveal the hidden blueprint of life, exposing not just the number of chromosomes but the subtle clues to genetic disorders and evolutionary history. When scientists perform karyotyping,...
B
Brewster
Brewster
➕ Follow Author
📄 View Journals
>>
Followers:
7
Lifetime Tokens:
7
BIOLOGY
Genetics
X Chromosome
The X chromosome’s unique gene balance shapes sex differences and disease risks in unexpected ways
9 days ago
0
Why do X-linked recessive disorders often affect males more than females?
Because males have only one X chromosome, so a single recessive mutation will manifest as a disorder.
Because males have two X chromosomes, increasing the chance of inheriting the disorder.
Because females do not carry X chromosomes and are therefore immune to X-linked disorders.
S
Stevex
Love life
➕ Follow Author
📄 View Journals
>>
Followers:
3
Lifetime Tokens:
0
BIOLOGY
Genetics
Eye Color Variation
The secret dance of genes and light creates the endless palette of human eye colors
9 days ago
0
What causes the variation in human eye color?
A combination of multiple genes affecting melanin production and light scattering in the iris
A single gene that determines the amount of melanin in the iris
Eye color is solely determined by the amount of blood vessels in the eye
×
Comments
Loading....
Share comment
5
Streak Win!
Game Over