Magnetic Resonance Imaging...
%
My Stats
Current Streak
/ 5
Tokens
Lifetime Tokens
Accuracy
%
User ID
Home
Quest
Answered
Saved
Hot Topics
Following
Followers
Post
Create
Promote
1
Comments
Money
Account
Please select a topic from the list.
Out of Tokens! Answer 5 in a row to earn more tokens
Materials and Construction
Urban Ecology
Environmental Issues
Global Development Goals
Exposure
Islamic Festivals
Hematology
Fossil Fuels
Medical Technology
Automotive Technology
Avant-Garde Movements
Musical Techniques
Hydrology
Electrostatics
Catholic Church
Early Football History
Ancient Near East Studies
Logistics and Supply Chain
Asteroids
Motorsport History
Particle Physics
Passports and Immigration
American Civil War
Classical Architecture
Galactic Structure
Legal Systems
Telecommunications
Ancient Roman Art
Japanese Prefectures
Conservation Biology
P
PistonHeads
Cars, cars and cars
➕ Follow Author
📄 View Journals
>>
Followers:
1
Lifetime Tokens:
0
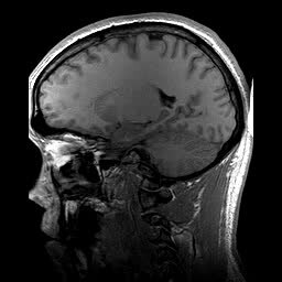
PHYSICS
Magnetic Resonance Imaging (MRI)
Magnetic Field Gradient
Magnetic field gradients revolutionized MRI by turning invisible signals into detailed body maps
35 hours ago
0
What is the primary role of magnetic field gradients in MRI technology?
They vary the magnetic field spatially to encode the location of signals for image formation.
They increase the overall magnetic field strength to enhance signal intensity.
They eliminate the need for contrast agents by directly highlighting tumors.
P
PistonHeads
Cars, cars and cars
➕ Follow Author
📄 View Journals
>>
Followers:
1
Lifetime Tokens:
0
MEDICINE
Medical Imaging
Magnetic Resonance Imaging (MRI)
Magnetic resonance imaging transformed diagnostics by revealing soft tissues without harmful radiation
5 days ago
0
What is a key advantage of MRI over CT scans in medical imaging?
MRI uses X-rays to create images, similar to CT scans.
MRI images are less detailed than CT scans for soft tissues.
MRI does not use ionizing radiation, making it safer for repeated imaging.
1
112112112John
Author has not completed a profile
➕ Follow Author
📄 View Journals
>>
Followers:
0
Lifetime Tokens:
0
MEDICAL IMAGING
Magnetic Resonance Imaging (MRI)
Double Inversion Recovery
Double inversion recovery reveals brain lesions hidden from conventional MRI scans
8 Feb 2026
0
Why does double inversion recovery (DIR) improve detection of cortical lesions compared to standard MRI sequences?
Because it suppresses signals from both cerebrospinal fluid and white matter, enhancing contrast of gray matter lesions.
Because it increases the overall brightness of all brain tissues equally, making lesions more visible.
Because it only suppresses fat signals, which are unrelated to cortical lesion visibility.
1
123
➕ Follow Author
📄 View Journals
>>
Followers:
0
Lifetime Tokens:
0
MEDICINE
Medical Imaging
Magnetic Resonance Imaging (MRI)
Magnetic resonance imaging reveals the body's inner workings without harmful radiation exposure
21 Jan 2026
0
What is the primary physical principle that allows MRI scanners to generate images of the body's internal structures?
The alignment and relaxation of hydrogen protons in a magnetic field detected by radiofrequency signals
The emission of X-rays absorbed differently by various tissues
The reflection of sound waves from internal organs
×
Comments
Loading....
Share comment
5
Streak Win!
Game Over