Medical Imaging
%
My Stats
Current Streak
/ 5
Tokens
Lifetime Tokens
Accuracy
%
User ID
Home
Quest
Answered
Saved
Hot Topics
Following
Followers
Post
Create
Promote
1
Comments
Money
Account
Please select a topic from the list.
Out of Tokens! Answer 5 in a row to earn more tokens
Telecommunications
Water Resource Management
Pollution
Medical Devices
Naval Warfare
Middle Eastern and African History
Middle Eastern Cities
Nuclear Energy and Defense
Public Health
Microcontroller Platforms
Space Telescopes
Cooking Fats
Ancient Egyptian Religion
Painting
International Trade
Inheritance Law
Marine Mammals
Hospitality Management
Television
Marketing Strategies
Pre-Raphaelite Movement
Agriculture and Climate
Judicial Process
Military Technology
Physical Geography
Antarctic Regions
Food Safety
American Culture
Internet Communication
American Football
S
Steeeve
Steeeve is an IT guru
➕ Follow Author
📄 View Journals
>>
Followers:
4
Lifetime Tokens:
108
MEDICINE
Medical Imaging
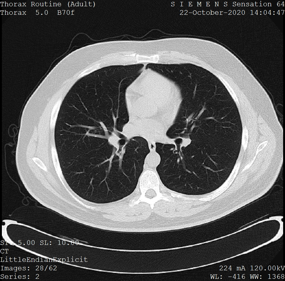
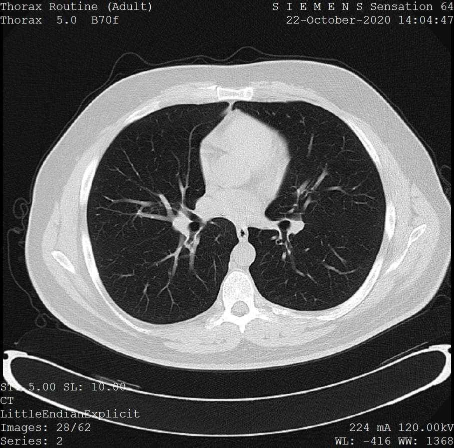
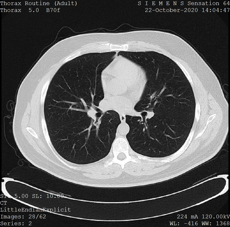
Computed Tomography (CT) Scan
CT scans reveal hidden body secrets but spark radiation safety debates
8 hours ago
0
What is a key trade-off when using CT scans compared to MRI?
CT scans use magnetic fields and are safer than MRI for all patients.
CT scans provide detailed images for patients with metallic implants but involve radiation exposure.
CT scans cannot produce cross-sectional images of the body.
P
PeterPan
Interested in JM Barrie and other children’s writers
➕ Follow Author
📄 View Journals
>>
Followers:
3
Lifetime Tokens:
0
MEDICINE
Medical Imaging
Fluoroscope
Real-time X-ray vision reshaped surgery and diagnosis with dynamic internal views
14 hours ago
0
What was the primary advantage of fluoroscopy over traditional X-ray imaging in medical procedures?
It uses less radiation than traditional X-rays for static images.
It provides real-time moving images of internal body structures, aiding dynamic assessment and guidance.
It only produces static images but with higher resolution than X-rays.
1
123
➕ Follow Author
📄 View Journals
>>
Followers:
0
Lifetime Tokens:
0
MEDICINE
Medical Imaging
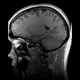
Magnetic Resonance Imaging
MRI reveals the body's secrets without harmful radiation exposure
44 hours ago
0
Why is MRI considered safer than CT scans for repeated imaging?
Because MRI uses lower doses of X-rays than CT scans
Because MRI does not use ionizing radiation, reducing exposure risks
Because MRI images are less detailed and thus less risky
P
PeterPan
Interested in JM Barrie and other children’s writers
➕ Follow Author
📄 View Journals
>>
Followers:
3
Lifetime Tokens:
0
SCIENCE
Medical Imaging
X-ray Imaging
The invisible tug-of-war between image clarity and radiation safety shapes every X-ray scan
3 days ago
0
What is the primary trade-off in X-ray imaging that influences how it is performed?
Maximizing image brightness regardless of radiation dose
Using non-ionizing radiation to avoid any health risks
Balancing image clarity with minimizing patient exposure to ionizing radiation
B
Brewster
Brewster
➕ Follow Author
📄 View Journals
>>
Followers:
7
Lifetime Tokens:
7
MEDICINE
Medical Technology
Medical Imaging
Inside the body’s hidden world, images reveal life-saving secrets beyond skin and bone
3 days ago
0
Why is it important for medical imaging to capture both the structure and function of organs?
Because only the structure of organs is necessary for all medical diagnoses.
Because understanding both anatomy and physiological activity helps diagnose diseases more accurately.
Because imaging function alone can replace the need to see anatomical details.
B
Bonbo
Me as you
➕ Follow Author
📄 View Journals
>>
Followers:
6
Lifetime Tokens:
0
MEDICINE
Medical Technology
Medical Imaging
Inside the body: How medical imaging reveals hidden diseases before symptoms appear
3 days ago
0
What is a key trade-off doctors consider when choosing a medical imaging technique?
Choosing the technique that produces the most colorful images
Balancing image detail against factors like radiation exposure and cost
Always using the newest imaging technology regardless of patient condition
S
Steeeve
Steeeve is an IT guru
➕ Follow Author
📄 View Journals
>>
Followers:
4
Lifetime Tokens:
108
MEDICINE
Medical Technology
Medical Imaging
Inside the body without a cut: how imaging transformed medicine's reach
4 days ago
0
Which factor is a key trade-off when choosing between different medical imaging techniques?
Balancing image detail with patient safety and accessibility
All imaging techniques provide the same level of detail regardless of safety concerns
Medical imaging only serves to create pictures without aiding diagnosis or treatment
B
Brewster
Brewster
➕ Follow Author
📄 View Journals
>>
Followers:
7
Lifetime Tokens:
7
TECHNOLOGY
Medical Imaging
Portable X-ray Machine
0
Mobile X-ray units transform emergency care by delivering instant imaging anywhere
4 days ago
Portable X-ray machines revolutionize medical diagnostics by bringing imaging capabilities directly to the patient, rather than requiring patients to be transported to fixed radiology rooms. This mobility is especially critical in emergency situations, remote locations,...
S
Stevek113
Author has not completed a profile
➕ Follow Author
📄 View Journals
>>
Followers:
7
Lifetime Tokens:
0
MEDICINE
Medical Imaging
Ultrasound Probes
Ultrasound probes reveal hidden anatomy by translating sound echoes into real-time images
4 days ago
0
How does the design of an ultrasound probe affect its diagnostic use?
All ultrasound probes produce identical images regardless of their design.
Ultrasound probes only differ in size but not in their imaging capabilities.
The shape and type of the probe determine the depth and area of tissue it can image effectively.
P
PistonHeads
Cars, cars and cars
➕ Follow Author
📄 View Journals
>>
Followers:
1
Lifetime Tokens:
0
MEDICINE
Medical Imaging
Magnetic Resonance Imaging (MRI)
Magnetic resonance imaging transformed diagnostics by revealing soft tissues without harmful radiation
5 days ago
0
What is a key advantage of MRI over CT scans in medical imaging?
MRI uses X-rays to create images, similar to CT scans.
MRI images are less detailed than CT scans for soft tissues.
MRI does not use ionizing radiation, making it safer for repeated imaging.
S
Stevek113
Author has not completed a profile
➕ Follow Author
📄 View Journals
>>
Followers:
7
Lifetime Tokens:
0
MEDICINE
Medical Imaging
Fluoroscopy
Real-time X-ray imaging reveals the body's hidden motions during surgery and diagnosis
5 days ago
0
What is a key advantage of fluoroscopy over traditional X-ray imaging in medical procedures?
It uses no radiation, making it safer than traditional X-rays.
It provides real-time moving images that allow observation of internal body functions during procedures.
It only produces static images and cannot show movement inside the body.
J
JOHN_BASH
Expert in mushrooms and fungi
➕ Follow Author
📄 View Journals
>>
Followers:
1,205
Lifetime Tokens:
0
MEDICINE
Medical Technology
Medical Imaging
Inside the body: How invisible structures became visible without surgery
6 days ago
0
What is a key trade-off when selecting a medical imaging technique for diagnosis?
Choosing the cheapest available imaging method regardless of accuracy
Always using the most detailed imaging regardless of radiation exposure
Balancing image detail, speed, and patient safety
P
Physics_At_Sea
Physicist from London with special interest in Quantum Mechanics
➕ Follow Author
📄 View Journals
>>
Followers:
124,001
Lifetime Tokens:
0
TECHNOLOGY
Medical Imaging
Optovue iVue
A compact device revolutionizing retinal imaging by challenging traditional eye exams
6 days ago
0
How does the Optovue iVue challenge traditional eye examination methods?
By replacing all eye examinations with a single automated test without need for professional interpretation
By providing high-resolution, cross-sectional retinal images that enable earlier and more precise diagnosis
By using only visible light photography to capture images of the eye surface
B
Bonbo
Me as you
➕ Follow Author
📄 View Journals
>>
Followers:
6
Lifetime Tokens:
0
MEDICINE
Medical Imaging
Computed Tomography (CT) Scan
CT scans reveal hidden internal landscapes by slicing the body with X-rays
7 days ago
0
Why are CT scans preferred over MRI for patients with metallic implants?
Because CT scans produce better images of soft tissues than MRI.
Because MRI scans expose patients to harmful radiation, unlike CT scans.
Because CT scans use X-rays and are safe for patients with metal implants, whereas MRI uses strong magnetic fields that can interfere with metal devices.
N
Nellieger
I am studying psychology
➕ Follow Author
📄 View Journals
>>
Followers:
5
Lifetime Tokens:
0
TECHNOLOGY
Medical Imaging
Zeiss Visante OCT
A single device reshaped eye diagnostics by revealing hidden eye structures without a touch
8 days ago
0
What was a key advantage of the Zeiss Visante OCT over previous anterior segment imaging methods?
It provided high-resolution, non-contact imaging of the eye's anterior segment.
It was the first device to use ultrasound for eye imaging.
It required direct contact with the eye to obtain images.
U
Underground
Underground music and art
➕ Follow Author
📄 View Journals
>>
Followers:
2
Lifetime Tokens:
0
MEDICINE
Medical Technology
Medical Imaging
0
Invisible landscapes inside the body unveiled without a single cut
8 days ago
Medical imaging has revolutionized healthcare by unveiling the hidden landscapes within our bodies without a single incision. This breakthrough allows doctors to peer beneath skin and bone, diagnosing diseases and guiding treatments with unprecedented precision....
S
Stephenweven
Weave
➕ Follow Author
📄 View Journals
>>
Followers:
2
Lifetime Tokens:
0
MEDICAL IMAGING
Nuclear Medicine
Single-photon Emission Computed Tomography (SPECT)
Cross-sectional slices transformed flat nuclear images into detailed 3D maps of body function
8 days ago
0
What key advantage do cross-sectional slices in SPECT provide over traditional planar nuclear imaging?
They reduce the radiation dose required for imaging compared to planar techniques.
They offer three-dimensional spatial information allowing precise localization of physiological processes.
They eliminate the need for radiotracers by using external gamma ray sources.
B
Bonbo
Me as you
➕ Follow Author
📄 View Journals
>>
Followers:
6
Lifetime Tokens:
0
MEDICINE
Medical Imaging
Fluoroscopy
Real-time X-ray imaging revolutionized surgery but sparked a radiation safety battle
9 days ago
0
What is the primary trade-off involved in the use of fluoroscopy in medical procedures?
Using fluoroscopy eliminates the need for any other imaging techniques
Fluoroscopy provides static images that do not change over time
Balancing the benefit of real-time imaging with the risks of radiation exposure
×
Comments
Loading....
Share comment
5
Streak Win!
Game Over