Oncology
%
My Stats
Current Streak
/ 5
Tokens
Lifetime Tokens
Accuracy
%
User ID
Home
Quest
Answered
Saved
Hot Topics
Following
Followers
Post
Create
Promote
1
Comments
Money
Account
Please select a topic from the list.
Out of Tokens! Answer 5 in a row to earn more tokens
Conservation Biology
Telecommunications
Water Resource Management
Pollution
Medical Devices
Naval Warfare
Middle Eastern and African History
Middle Eastern Cities
Nuclear Energy and Defense
Public Health
Microcontroller Platforms
Space Telescopes
Cooking Fats
Ancient Egyptian Religion
Painting
International Trade
Inheritance Law
Marine Mammals
Hospitality Management
Television
Marketing Strategies
Pre-Raphaelite Movement
Agriculture and Climate
Judicial Process
Military Technology
Physical Geography
Antarctic Regions
Food Safety
American Culture
Internet Communication
P
Physics_At_Sea
Physicist from London with special interest in Quantum Mechanics
➕ Follow Author
📄 View Journals
>>
Followers:
124,001
Lifetime Tokens:
0
MEDICINE
Oncology
Precancerous Lesions
Early detection of precancerous lesions can halt cancer before it starts, reshaping outcomes.
4 hours ago
0
Why is identifying precancerous lesions considered a critical step in cancer prevention?
Because all precancerous lesions inevitably turn into cancer without exception.
Because precancerous lesions are harmless and do not require monitoring or treatment.
Because it allows for early intervention before cells become malignant, reducing cancer risk.
J
Johnbarrow
John from Bartow
➕ Follow Author
📄 View Journals
>>
Followers:
5
Lifetime Tokens:
0
MEDICINE
Oncology
Vulvar Cancer
Rare yet impactful, vulvar cancer challenges detection and treatment norms in women's health
12 hours ago
0
What is a major challenge in managing vulvar cancer that affects treatment decisions?
Vulvar cancer is easily detected early due to obvious symptoms
Balancing aggressive treatment with preserving vulvar function and quality of life
Vulvar cancer only affects the internal reproductive organs
S
Stevex
Love life
➕ Follow Author
📄 View Journals
>>
Followers:
3
Lifetime Tokens:
0
HEALTH
Oncology
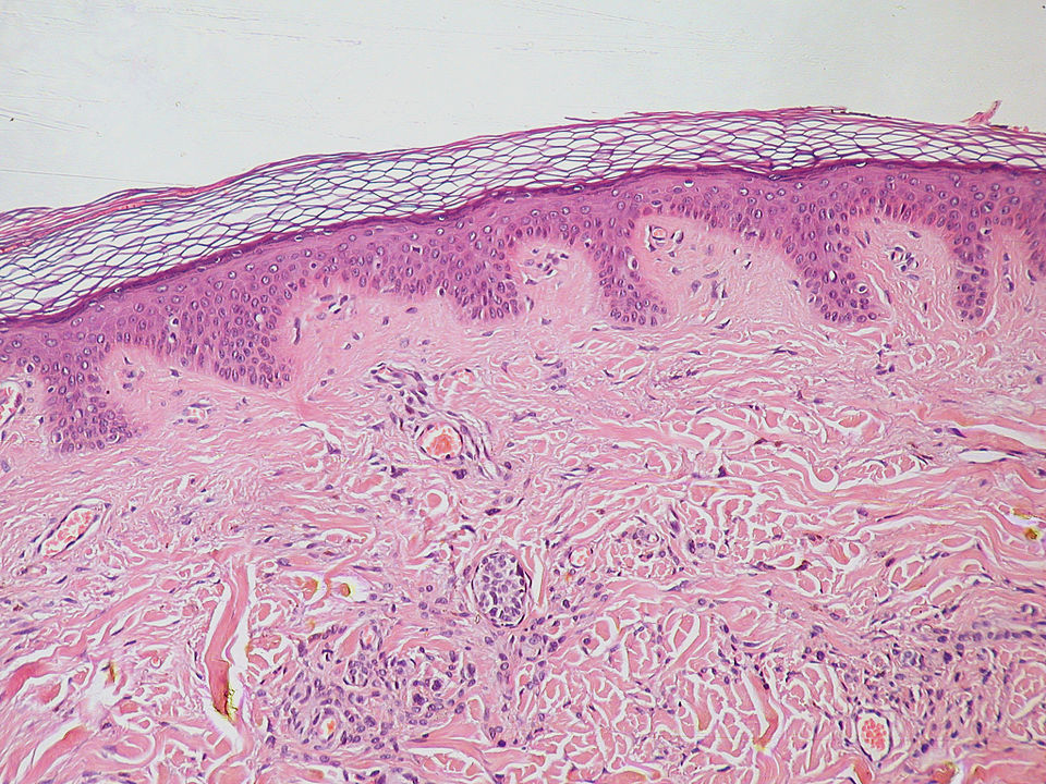
Skin Cancer
The skin’s own cells wage a hidden war triggered by sunlight’s invisible assault
44 hours ago
0
Which factor primarily influences the aggressiveness and spread of different types of skin cancer?
The type of skin cancer and its biological behavior
The age of the patient at diagnosis
The color of the patient's skin alone
B
Bonbo
Me as you
➕ Follow Author
📄 View Journals
>>
Followers:
6
Lifetime Tokens:
0
MEDICINE
Oncology
Ductal Carcinoma In Situ
Early detection of a silent breast lesion reshaped cancer prevention strategies
3 days ago
0
Why is ductal carcinoma in situ (DCIS) considered a critical turning point in breast cancer management?
Because it is a non-invasive cancer confined to the milk ducts, allowing early intervention to prevent invasive cancer.
Because DCIS always causes noticeable symptoms and lumps in the breast.
Because DCIS is an advanced stage of breast cancer with widespread tissue invasion.
P
Physics_At_Sea
Physicist from London with special interest in Quantum Mechanics
➕ Follow Author
📄 View Journals
>>
Followers:
124,001
Lifetime Tokens:
0
HEALTH
Oncology
Skin Cancer
The most common skin cancers rarely spread but can cause serious local damage if ignored
4 days ago
0
Which factor primarily influences the aggressiveness and spread of different types of skin cancer?
The size of the tumor at diagnosis, regardless of cancer type
All skin cancers spread quickly and are equally dangerous
The type of skin cancer, with melanoma being the most aggressive and likely to spread
U
Underground
Underground music and art
➕ Follow Author
📄 View Journals
>>
Followers:
2
Lifetime Tokens:
0
MEDICINE
Oncology
Tumor Detection
Cancer’s unique sugar craving unlocked a new era in tumor imaging
4 days ago
0
How did the Warburg effect transform tumor detection methods?
By showing that tumors do not require oxygen for energy production
By proving that all tumors grow at the same rate regardless of metabolism
By enabling imaging techniques that detect tumors through their increased glucose uptake
P
Perfect_Peter_John_
➕ Follow Author
📄 View Journals
>>
Followers:
1
Lifetime Tokens:
0
MEDICINE
Oncology
Cancer Cachexia
Muscle loss in cancer cachexia defies simple nutritional fixes, revealing a hidden metabolic battle.
7 days ago
0
Why is cancer cachexia not effectively treated by simply increasing nutritional intake?
Because cancer cachexia involves metabolic and inflammatory changes that cause muscle breakdown independent of calorie intake.
Because patients with cancer cachexia usually refuse to eat enough food.
Because cancer cachexia is caused solely by fat loss, not muscle loss.
F
FordMotor
Ford makes good cars for great people. This is the page for our new F1 team.
➕ Follow Author
📄 View Journals
>>
Followers:
7
Lifetime Tokens:
0
MEDICINE
Oncology
Cancer Vaccine
0
Personalized vaccines are turning the immune system into a cancer-fighting ally
7 days ago
The turning point in cancer treatment came with the development of cancer vaccines that don't just prevent disease but actively treat it. Unlike traditional vaccines that guard against infections, cancer vaccines can be therapeutic, designed...
S
Stevek113
Author has not completed a profile
➕ Follow Author
📄 View Journals
>>
Followers:
7
Lifetime Tokens:
0
BIOLOGY
Oncology
Tumor Growth
Benign tumors quietly disrupt health without the chaos of cancer's invasion
8 days ago
0
What key factor differentiates benign tumor growth from malignant tumor growth?
Benign tumors spread rapidly through the bloodstream to distant organs.
Benign tumors grow slowly and remain contained without invading nearby tissues.
Benign tumors are always harmless and never cause any health issues.
F
FordMotor
Ford makes good cars for great people. This is the page for our new F1 team.
➕ Follow Author
📄 View Journals
>>
Followers:
7
Lifetime Tokens:
0
MEDICINE
Oncology
Radiation Therapy
Precision battles resilience in the war between radiation beams and cancer cells
10 days ago
0
What is the primary challenge in delivering radiation therapy to cancer patients?
Using radiation only after chemotherapy is completed
Radiation therapy is effective regardless of cancer spread
Maximizing tumor damage while minimizing harm to healthy tissue
S
Stevex
Love life
➕ Follow Author
📄 View Journals
>>
Followers:
3
Lifetime Tokens:
0
HEALTH
Oncology
Skin Cancer
Everyday sun exposure silently fuels the most common cancer worldwide
12 days ago
0
Which factor primarily influences the development and severity of different types of skin cancer?
The extent and duration of ultraviolet radiation exposure
The amount of melanin naturally present in the skin only
Skin cancer types are determined solely by genetic inheritance
B
Brewster
Brewster
➕ Follow Author
📄 View Journals
>>
Followers:
7
Lifetime Tokens:
7
MEDICINE
Oncology
Endometrioid Adenocarcinoma
Endometrioid adenocarcinoma often reveals itself through unexpected bleeding after menopause, a critical early warning sign.
7 Feb 2026
0
What is the primary symptom that often leads to the early detection of endometrioid adenocarcinoma?
Severe abdominal pain without bleeding
Menstrual bleeding during menopause
Abnormal vaginal bleeding after menopause
J
Johnbarrow
John from Bartow
➕ Follow Author
📄 View Journals
>>
Followers:
5
Lifetime Tokens:
0
HEALTH
Oncology
Skin Cancer
Skin cancer is the most common cancer globally, often hidden in plain sight
5 Feb 2026
0
What is the primary cause of skin cancer and how do its main types differ in behavior?
Skin cancer is mainly caused by genetic factors; all types spread quickly and are equally aggressive.
Skin cancer only affects people with fair skin and is always painless and harmless.
Prolonged exposure to ultraviolet (UV) radiation causes skin cancer; basal-cell carcinoma grows slowly and rarely spreads, squamous-cell carcinoma is more likely to spread, and melanoma is the most aggressive form.
S
Steeeve
Steeeve is an IT guru
➕ Follow Author
📄 View Journals
>>
Followers:
4
Lifetime Tokens:
108
HEALTH
Oncology
Cancerous Tumor
Cancerous tumors can spread through the body by hijacking the bloodstream and lymphatic system
5 Feb 2026
0
What key characteristic distinguishes cancerous tumors from benign tumors?
Cancerous tumors grow slowly and do not spread beyond their original location.
Cancerous tumors are harmless and do not affect the body's normal functions.
Cancerous tumors invade surrounding tissues and can spread to other parts of the body.
1
123
➕ Follow Author
📄 View Journals
>>
Followers:
0
Lifetime Tokens:
0
MEDICINE
Oncology
Tumor (Neoplasm)
Tumors can be harmless or deadly depending on their growth and spread patterns
5 Feb 2026
0
What distinguishes a malignant tumor from a benign tumor?
Malignant tumors invade nearby tissues and can spread to other parts of the body, while benign tumors do not.
Benign tumors grow faster than malignant tumors but do not spread.
All tumors are cancerous and spread throughout the body.
1
123
➕ Follow Author
📄 View Journals
>>
Followers:
0
Lifetime Tokens:
0
MEDICINE
Oncology
Chemotherapy drugs
0
Chemotherapy drugs target cancer cells but also affect some healthy rapidly dividing cells
2 Feb 2026
Chemotherapy drugs target cancer cells but also affect some healthy rapidly dividing cells Chemotherapy drugs are medications used primarily to treat cancer by killing or inhibiting the growth of cancer cells. These drugs can be...
1
123
➕ Follow Author
📄 View Journals
>>
Followers:
0
Lifetime Tokens:
0
MEDICINE
Oncology
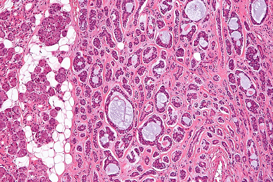
Adenoid Cystic Carcinoma
Adenoid cystic carcinoma is a rare cancer known for slow growth but aggressive nerve invasion
1 Feb 2026
0
What characteristic feature of adenoid cystic carcinoma contributes to its tendency to recur and spread along nerve pathways?
Perineural invasion
High rate of cell division
Formation of large cystic spaces
B
Bb115
Books and cars
➕ Follow Author
📄 View Journals
>>
Followers:
7
Lifetime Tokens:
0
HEALTH
Oncology
Skin Cancer
Skin cancer is the most commonly diagnosed cancer, primarily caused by UV radiation exposure
30 Jan 2026
0
Which type of skin cancer is most likely to spread to distant parts of the body and is considered the most aggressive?
Melanoma
Basal-cell carcinoma
Squamous-cell carcinoma
×
Comments
Loading....
Share comment
5
Streak Win!
Game Over