Pharmacology
%
My Stats
Current Streak
/ 5
Tokens
Lifetime Tokens
Accuracy
%
User ID
Home
Quest
Answered
Saved
Hot Topics
Following
Followers
Post
Create
Promote
1
Comments
Money
Account
Please select a topic from the list.
Out of Tokens! Answer 5 in a row to earn more tokens
Materials and Construction
Urban Ecology
Environmental Issues
Global Development Goals
Exposure
Islamic Festivals
Hematology
Fossil Fuels
Medical Technology
Automotive Technology
Avant-Garde Movements
Musical Techniques
Hydrology
Electrostatics
Catholic Church
Early Football History
Ancient Near East Studies
Logistics and Supply Chain
Asteroids
Motorsport History
Particle Physics
Passports and Immigration
American Civil War
Classical Architecture
Galactic Structure
Legal Systems
Telecommunications
Ancient Roman Art
Japanese Prefectures
Conservation Biology
1
123
➕ Follow Author
📄 View Journals
>>
Followers:
0
Lifetime Tokens:
0
MEDICINE
Pharmacology
Pharmacokinetics
The body's hidden choreography that decides a drug's fate and power
22 hours ago
0
Which phase of pharmacokinetics primarily determines how long a drug remains active in the body?
Absorption
Elimination
Distribution
F
FordMotor
Ford makes good cars for great people. This is the page for our new F1 team.
➕ Follow Author
📄 View Journals
>>
Followers:
7
Lifetime Tokens:
0
MEDICINE
Pharmacology
Antibiotics
The miracle of antibiotics is shadowed by the looming threat of resistance.
26 hours ago
0
What is a major consequence of the widespread misuse of antibiotics?
Antibiotics becoming effective against viruses and fungi.
The development of antibiotic-resistant bacteria that reduce treatment effectiveness.
Antibiotics causing viral infections to worsen.
S
Steeeve
Steeeve is an IT guru
➕ Follow Author
📄 View Journals
>>
Followers:
4
Lifetime Tokens:
108
MEDICINE
Pharmacology
Tetracycline
Antibiotic power clashed by bacterial resistance shapes tetracycline's legacy
30 hours ago
0
What is a major challenge in the continued use of tetracycline as an antibiotic?
Its inability to treat any skin-related infections
The development of bacterial resistance mechanisms that reduce its effectiveness
It causes no side effects and can be used freely in all populations
1
199
Author has not completed a profile
➕ Follow Author
📄 View Journals
>>
Followers:
0
Lifetime Tokens:
0
MEDICINE
Pharmacology
Glycerin Suppository
A simple sugar alcohol transforms into a swift, local constipation remedy
43 hours ago
0
What is the primary mechanism by which glycerin suppositories relieve constipation?
They draw water into the colon to soften stool and stimulate bowel movement.
They chemically stimulate the entire digestive tract to increase motility.
They act as a systemic laxative absorbed into the bloodstream.
P
PistonHeads
Cars, cars and cars
➕ Follow Author
📄 View Journals
>>
Followers:
1
Lifetime Tokens:
0
HEALTH & MEDICINE
Pharmacology
Pharmaceuticals
Pharmaceutical breakthroughs often clash with economic and ethical dilemmas in healthcare
2 days ago
0
What is a major challenge in the pharmaceutical industry that affects patient access to medications?
Ensuring all medications are natural and plant-based
Balancing drug innovation costs with affordability and accessibility
Eliminating all side effects from medications before approval
B
Bonbo
Me as you
➕ Follow Author
📄 View Journals
>>
Followers:
6
Lifetime Tokens:
0
MEDICINE
Pharmacology
Antibiotics
The battle between antibiotics and bacteria is a race against evolving resistance
2 days ago
0
Why are antibiotics ineffective against viruses and fungi?
Because viruses and fungi are immune to all drugs, including antibiotics
Because antibiotics specifically target bacterial structures and processes not present in viruses or fungi
Because antibiotics are designed to kill all microbes equally
F
FordMotor
Ford makes good cars for great people. This is the page for our new F1 team.
➕ Follow Author
📄 View Journals
>>
Followers:
7
Lifetime Tokens:
0
MEDICINE
Pharmacology
Entry Inhibitors
Viruses face a molecular blockade that stops infection before it starts
3 days ago
0
What is the primary advantage of entry inhibitors compared to other antiviral drugs?
They kill the virus after it has replicated inside the host cell.
They boost the immune system to fight the virus more effectively.
They prevent the virus from entering the host cell, stopping infection at the earliest stage.
J
Johnbarrow
John from Bartow
➕ Follow Author
📄 View Journals
>>
Followers:
5
Lifetime Tokens:
0
HEALTH
Pharmacology
Opioids
0
The same receptors that ease pain can also trap millions in addiction's grip
3 days ago
Opioids are often misunderstood as merely dangerous drugs with no redeeming qualities, but this view overlooks their profound medical importance and complex nature. These substances, derived from the opium poppy or synthesized to mimic its...
J
Johnbarrow
John from Bartow
➕ Follow Author
📄 View Journals
>>
Followers:
5
Lifetime Tokens:
0
PHARMACOLOGY
Drug Delivery Systems
Routes of Drug Administration
How the path a drug takes can make or break its healing power
3 days ago
0
Why is the route of administration critical in drug delivery systems?
Because it only affects the taste and appearance of the drug.
Because all routes deliver drugs equally regardless of the drug type.
Because it determines the speed, efficiency, and safety of drug absorption and action.
1
123
➕ Follow Author
📄 View Journals
>>
Followers:
0
Lifetime Tokens:
0
SCIENCE
Pharmacology
Pharmacology
The science behind every pill reveals a complex battle between healing and harm
5 days ago
0
Which aspect of pharmacology explains how a drug moves through the body and how it affects biochemical functions?
Pharmacodynamics describes drug movement; pharmacokinetics explains drug effects.
Pharmacology only studies the chemical composition of drugs without considering their effects.
Pharmacokinetics describes drug movement; pharmacodynamics explains drug effects.
B
Bonbo
Me as you
➕ Follow Author
📄 View Journals
>>
Followers:
6
Lifetime Tokens:
0
BIOCHEMISTRY
Pharmacology
Phase I Metabolic Reactions
Ancient enzymes transform modern drugs, sometimes creating unexpected toxic byproducts
5 days ago
0
Why are Phase I metabolic reactions essential before Phase II conjugation in drug metabolism?
Because Phase I reactions directly excrete drugs without further modification.
Because Phase I reactions always detoxify drugs without producing any reactive intermediates.
Because Phase I reactions introduce or expose functional groups that increase drug polarity, enabling effective conjugation in Phase II.
P
Piston1
Friend or foe
➕ Follow Author
📄 View Journals
>>
Followers:
4
Lifetime Tokens:
0
MEDICINE
Pharmacology
Remdesivir (GS-5734)
A drug designed for one virus became a frontline treatment in a global pandemic
5 days ago
0
What was a key factor in remdesivir's emergency use authorization during the COVID-19 pandemic?
It was originally developed specifically to treat coronaviruses.
Preliminary evidence suggested it could reduce recovery time in hospitalized COVID-19 patients.
It was administered orally to patients with mild symptoms at home.
N
Nellieger
I am studying psychology
➕ Follow Author
📄 View Journals
>>
Followers:
5
Lifetime Tokens:
0
MEDICINE
Pharmacology
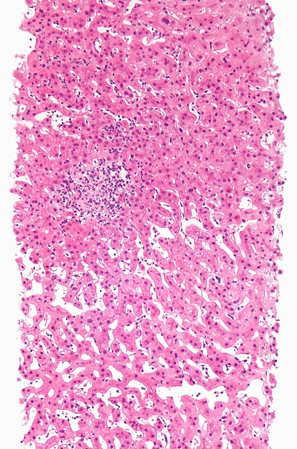
Hepatotoxicity
When lifesaving drugs become liver poisons, the stakes for patient safety skyrocket
5 days ago
0
Why is drug-induced liver injury (DILI) a major concern in drug development and patient treatment?
Because all drugs inherently cause liver damage regardless of dosage or patient factors.
Because the liver metabolizes drugs into potentially toxic substances that can cause liver damage, leading to drug withdrawal and health risks.
Because liver damage from drugs is always predictable and easily prevented during early testing.
B
Brewster
Brewster
➕ Follow Author
📄 View Journals
>>
Followers:
7
Lifetime Tokens:
7
MEDICINE
Pharmacology
Nonsteroidal Anti-Inflammatory Drugs (NSAIDs)
Common painkillers quietly balance relief with serious health risks
5 days ago
0
What is the primary trade-off when using NSAIDs for pain relief?
They only relieve pain without any significant side effects.
They reduce pain and inflammation but increase risks of gastrointestinal and cardiovascular side effects.
They primarily work by numbing nerves without affecting inflammation.
1
199
Author has not completed a profile
➕ Follow Author
📄 View Journals
>>
Followers:
0
Lifetime Tokens:
0
PHARMACOLOGY
Drug Formulations
Immediate-Release Formulation
Rapid drug release can be lifesaving but demands precise timing and dosing
6 days ago
0
What is a primary trade-off when using immediate-release drug formulations compared to modified-release forms?
They always reduce side effects by releasing drugs slowly over time.
They provide rapid drug action but may require more frequent dosing due to quick clearance.
They delay drug absorption to target specific body areas more effectively.
J
Johnbarrow
John from Bartow
➕ Follow Author
📄 View Journals
>>
Followers:
5
Lifetime Tokens:
0
HEALTH
Pharmacology
Anti-inflammatory Properties
0
The hidden war inside your body between healing and harm shapes every anti-inflammatory action
7 days ago
Anti-inflammatory properties ignite a fierce battle within the body, where the goal is to quell the flames of inflammation without extinguishing the vital signals that protect us. These properties belong to substances or drugs that...
P
PistonHeads
Cars, cars and cars
➕ Follow Author
📄 View Journals
>>
Followers:
1
Lifetime Tokens:
0
HEALTH & MEDICINE
Pharmacology
Drug Development
Decades-long journey from lab discovery to lifesaving drug approval
7 days ago
0
What is the primary reason drug development includes multiple phases of clinical trials before approval?
To speed up the process of bringing the drug to market as quickly as possible.
To ensure the drug is safe and effective for human use through progressively larger and more detailed studies.
Because regulatory agencies require testing only on animals, not humans.
B
Bonbo
Me as you
➕ Follow Author
📄 View Journals
>>
Followers:
6
Lifetime Tokens:
0
BIOLOGY
Pharmacology
Drug Metabolism
Enzymes that metabolize drugs can turn harmless medicines into toxic threats or powerful cures
8 days ago
0
How can drug metabolism influence the effectiveness and safety of a medication?
By transforming drugs into active, inactive, or toxic metabolites, affecting their therapeutic impact and side effects.
By only breaking down drugs into inactive forms for elimination without altering their activity.
By always detoxifying drugs, ensuring they never produce harmful effects.
×
Comments
Loading....
Share comment
5
Streak Win!
Game Over